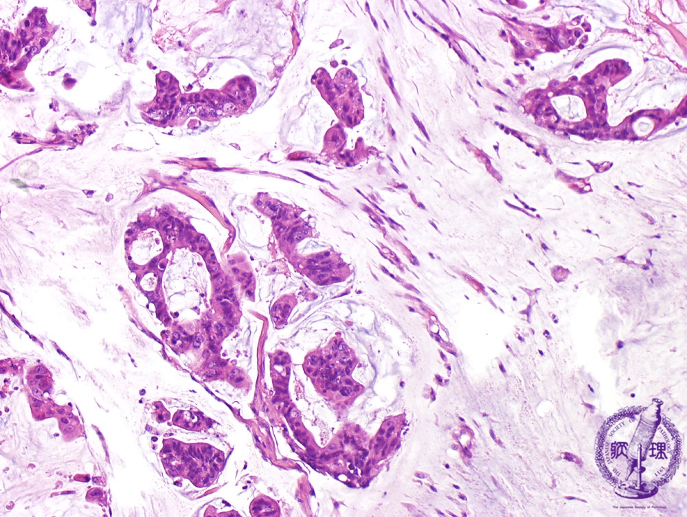
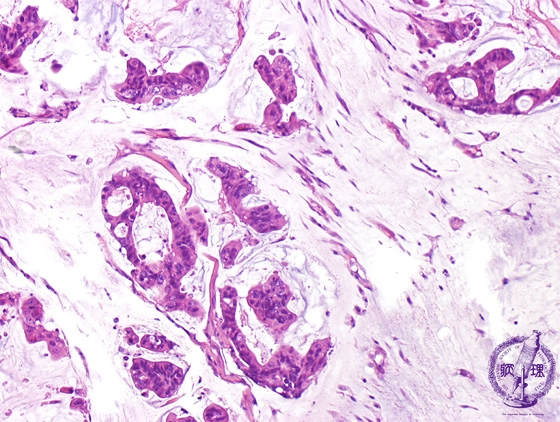
Microscopic view (H&E stain, medium power): Mucinous adenocarcinoma is composed of tumor cells arranged in trabecular and cribriform patterns and floating in extracellular mucin.

Click the image to see the enlarged image.

  • There is no guidance by arrows.