- 10.Liver
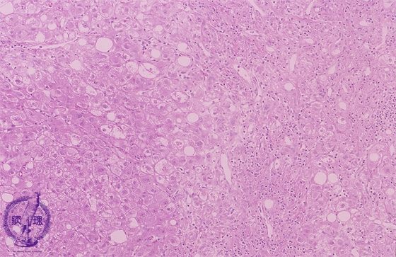
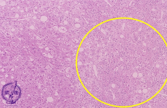
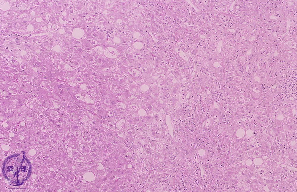
- ★(2)Alcoholic hepatitis, cirrhosis
Microscopic image (HE stain, low power): There is hepatocellular balloon cell degeneration, steatosis and centrilobular perisinusoidal fibrosis (yellow box, lower right). Mild inflammatory infiltrates are seen.
Click the image to see the enlarged image.














