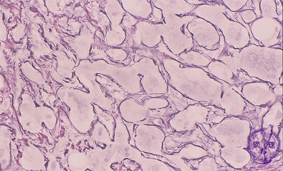
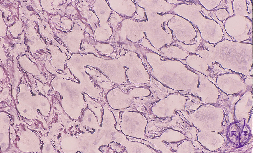
• 10.Liver
  • š(2)Alcoholic hepatitis, cirrhosis

Microscopic image (silver stain, high power): Hepatocytes show distinct centrilobular perisinusoidal fibrosis, consistent with alcoholic steatohepatitis. The hepatocellular architecture is distorted.

Click the image to see the enlarged image.

  • There is no guidance by arrows.