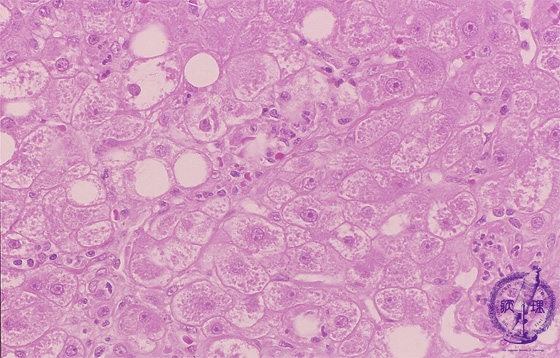
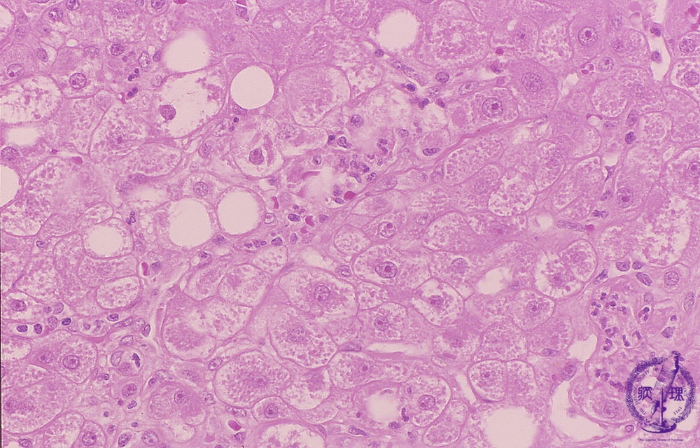
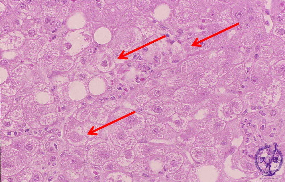
- 10.Liver
- ★(2)Alcoholic hepatitis, cirrhosis
Microscopic finding (HE stain, high power view): Hepatocytes show ballooning degeneration and most of the cells contain cytoplasmic eosinophilic Mallory bodies (red arrows). Neutrophilic infiltrates and steatosis are also seen. Hepatocellular plate architecture is distorted.
Click the image to see the enlarged image.














