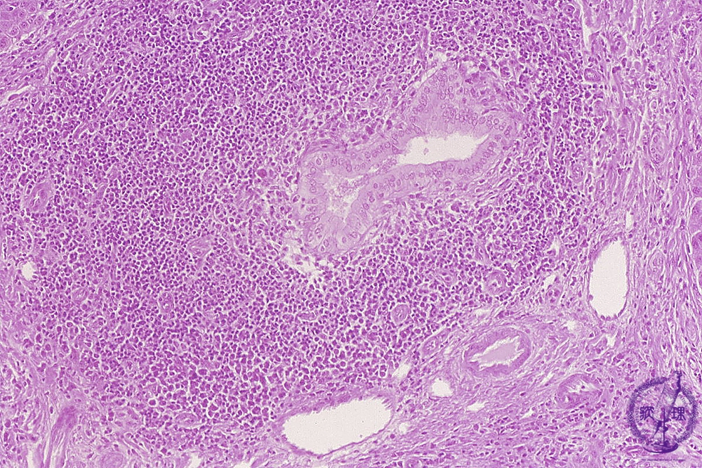
- 10.Liver
- (4)Primary biliary cirrhosis
Microscopic image (HE stain, intermediate power): There is a marked lymphocytic infiltrate (yellow circle) around bile ductules (image, center ・ black dot) within expanded portal areas and the bile ductular epithelium is damaged. These changes are characteristic of chronic non-suppurative cholangitis.
Click the image to see the enlarged image.














