- 10.Liver
- (4)Primary biliary cirrhosis
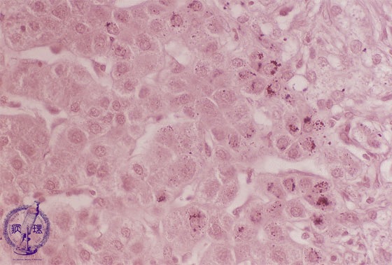
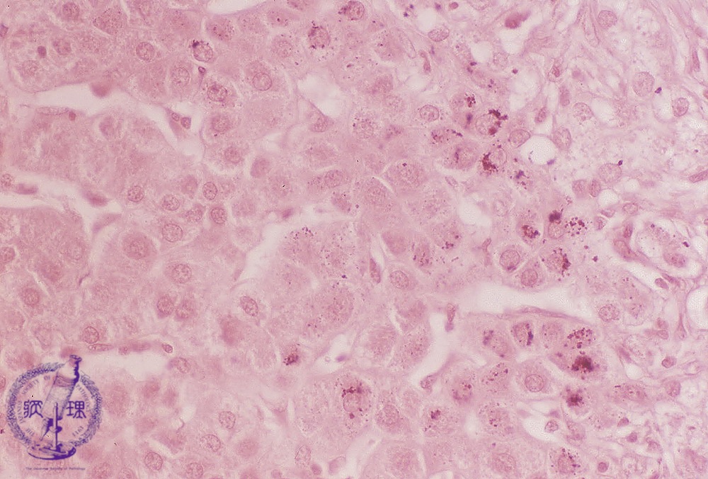
Microscopic image (orcein stain, high power): In advanced primary biliary cirrhosis, periportal hepatocytes contain orcein positive cytoplasmic granules. Orcein stains copper binding protein; therefore, positively staining granules reflect the deposition of copper granules associated with chronic cholestasis.
Click the image to see the enlarged image.











