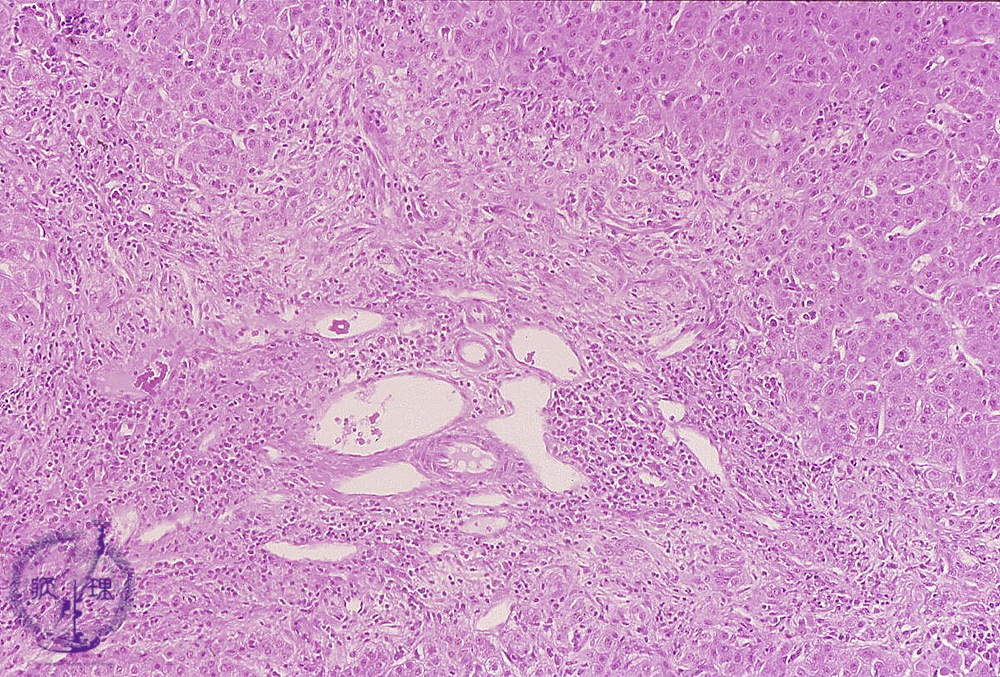
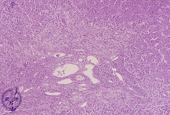
Microscopic image (HE stain, intermediate power): There is fibro-inflammatory portal expansion. Although portal artery, vein, and lymphatic vessels are conserved, bile ductules are absent and there is a periportal bile ductular reaction.

Click the image to see the enlarged image.

  • There is no guidance by arrows.