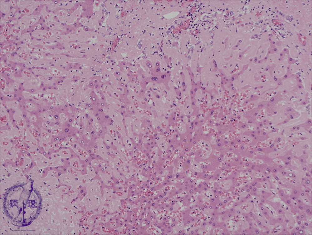
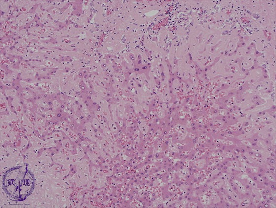
Microscopic image (HE stain, high power): There is deposition within sinusoids of a pink amorphous material (amyloid) and hepatocytes are atrophic.

Click the image to see the enlarged image.

  • There is no guidance by arrows.