- 10.Liver
- (7)hepatic amyloidosis
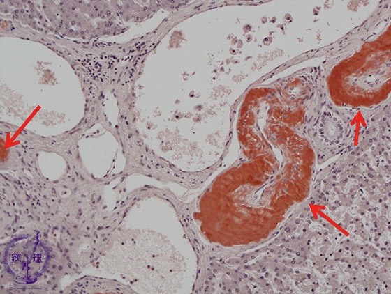
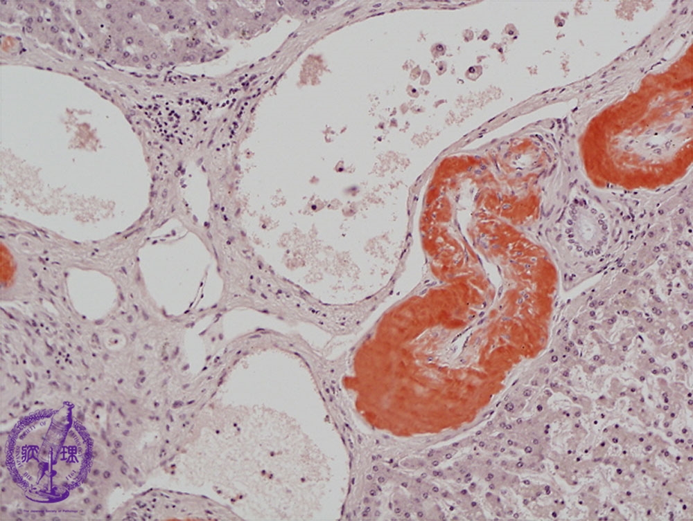
Microscopic image (Congo red stain, high power): There is deposition of an amorphous orange staining material within the portal area and thickened arterial walls.
Click the image to see the enlarged image.
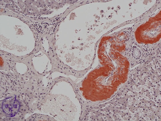
Microscopic image (Congo red stain, high power): There is deposition of an amorphous orange staining material within the portal area and thickened arterial walls.
Click the image to see the enlarged image.