- 10.Liver
- (7)hepatic amyloidosis
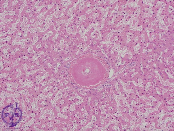
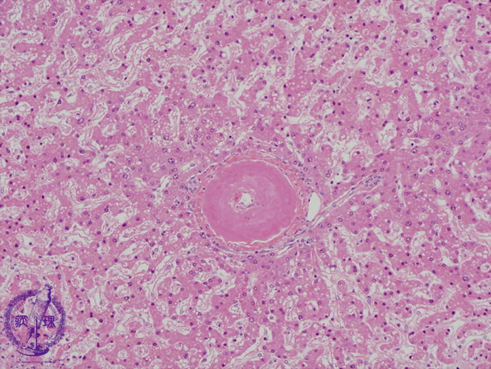
Microscopic image (HE stain, high power): There is perivascular deposition of an eosinophilic amorphous material.
Click the image to see the enlarged image.
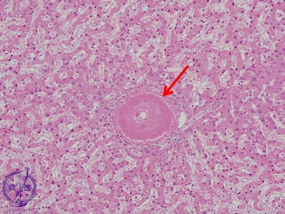
Microscopic image (HE stain, high power): There is perivascular deposition of an eosinophilic amorphous material.
Click the image to see the enlarged image.