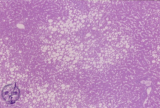
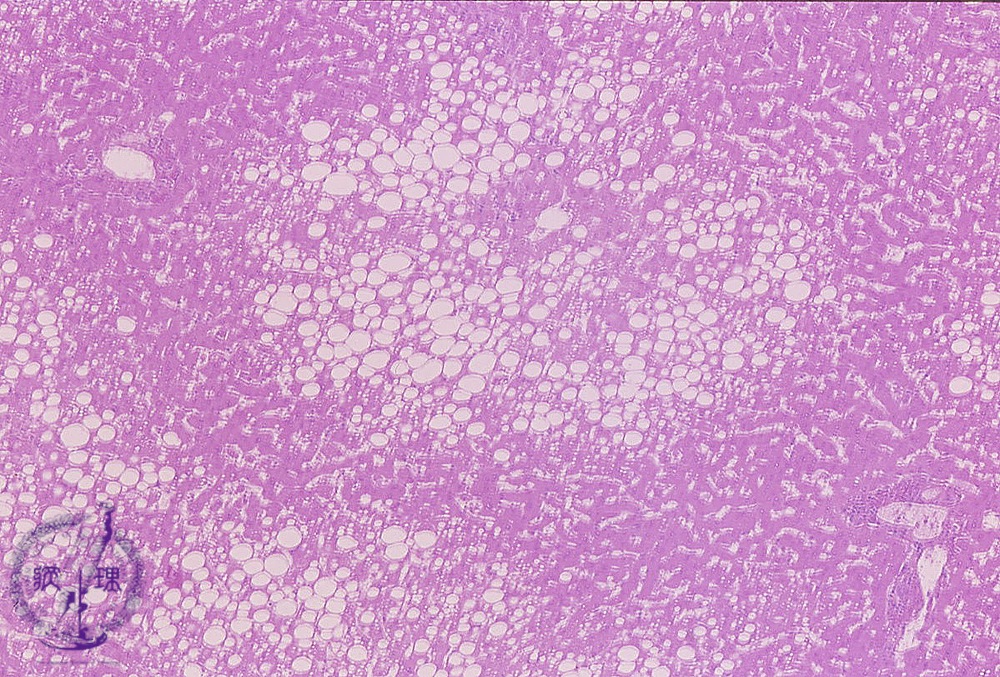
Microscopic image (HE stain, low power): There is macrosteatosis of centrilobular hepatocytes. Hepatic lobular architecture is maintained.

Click the image to see the enlarged image.

  • There is no guidance by arrows.