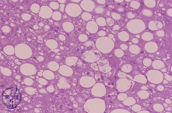
Microscopic image (HE stain, high power view): Similar to alcoholic hepatitis, centrilobular hepatocytes demonstrate macrosteatosis, balloon cell degeneration and Mallory body formation.

Click the image to see the enlarged image.

  • There is no guidance by arrows.