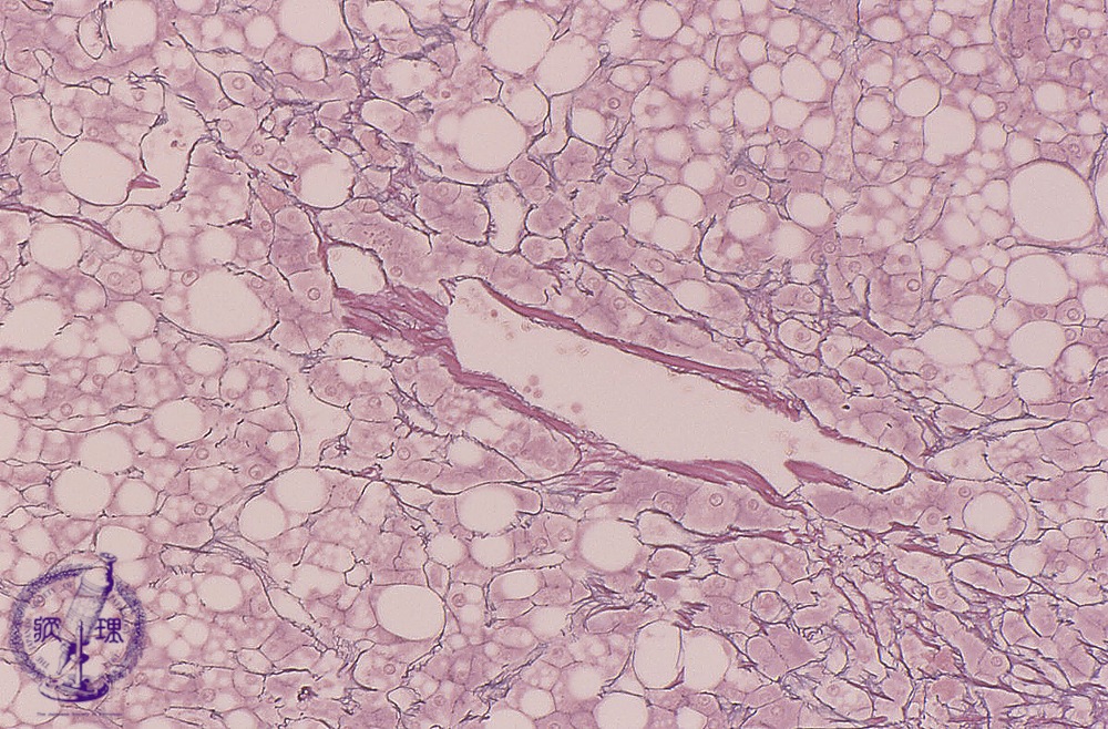
Microscopic image (silver stain, high power): Centrilobular hepatocytes demonstrate pericellular fibrosis and central vein walls are thickened. There is macrosteatosis.

Click the image to see the enlarged image.

  • There is no guidance by arrows.