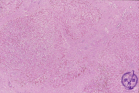
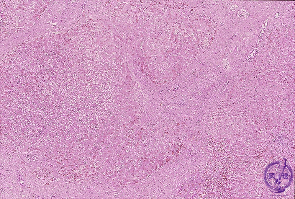
- 10.Liver
- (9)Liver hemochromatosis
Microscopic finding (HE stain, low power view): Regenerative nodule formation is accompanied by severe fibrosis with cirrhosis. Areas around regenerative nodules have a brownish tone due to hemosiderin deposition.
Click the image to see the enlarged image.













