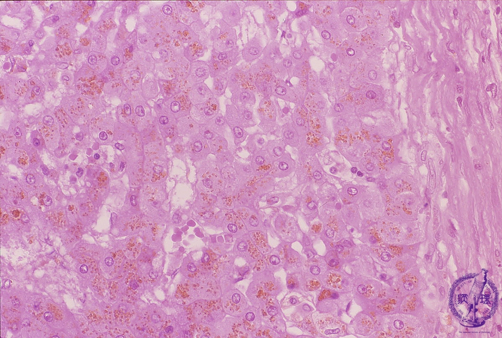
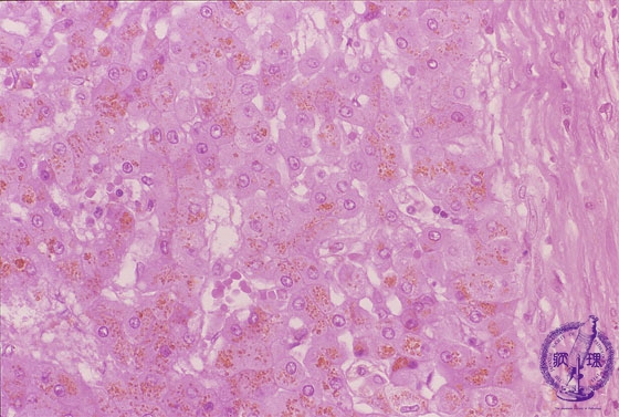
Microscopic image (HE stain, high power): Most of the hepatocytes within regenerative nodules contain coarse golden brown granular deposits (hemosiderin).

Click the image to see the enlarged image.

  • There is no guidance by arrows.