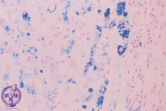
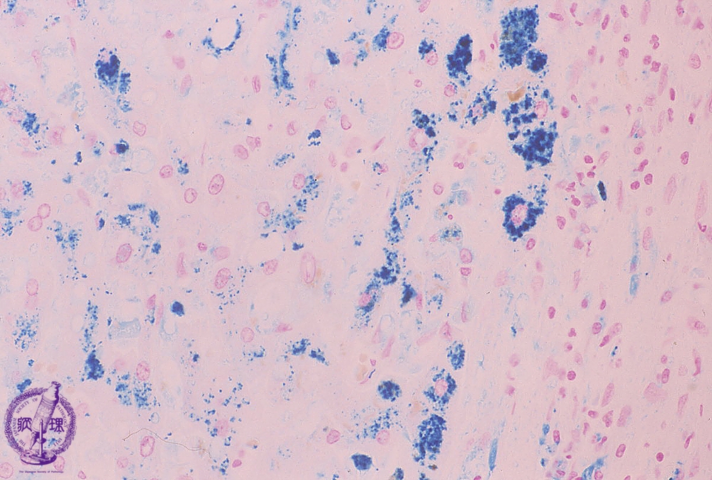
Microscopic finding (Iron stain (Berlin blue) stain, high power): Many of the hepatocytes contain golden brown cytoplasmic granules which are positive upon iron staining.

Click the image to see the enlarged image.

  • There is no guidance by arrows.