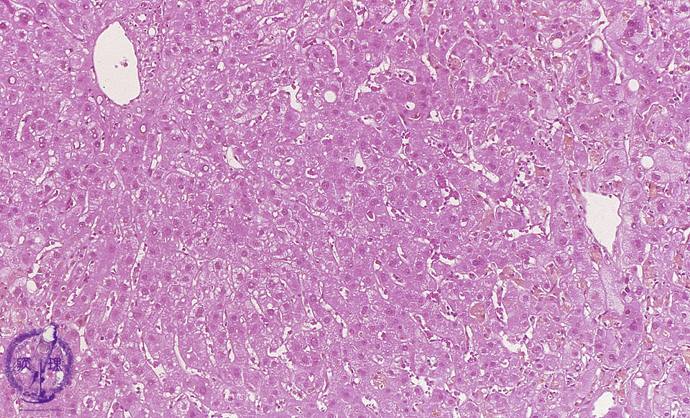
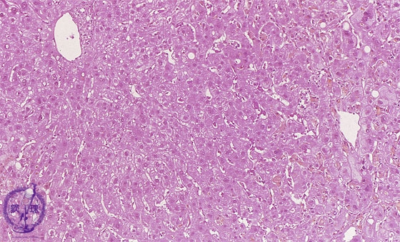
• 10.Liver
  • (10)Cholestatic disease (acute drug-induced)

Microscopic image (HE stain, middle power view): Hepatic lobular architecture is maintained. A mild inflammatory infiltrate is seen in the sinusoid.

Click the image to see the enlarged image.

  • There is no guidance by arrows.