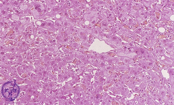
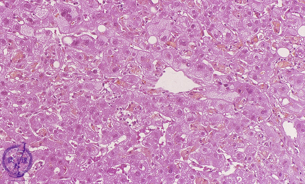
• 10.Liver
  • (10)Cholestatic disease (acute drug-induced)

Microscopic image (HE stain, high power): In addition to centrilobular balloon cell degeneration and multiple scattered bile duct plugs, there are mildly swollen Kupffer cells and focal hepatocellular necrosis.

Click the image to see the enlarged image.

  • There is no guidance by arrows.