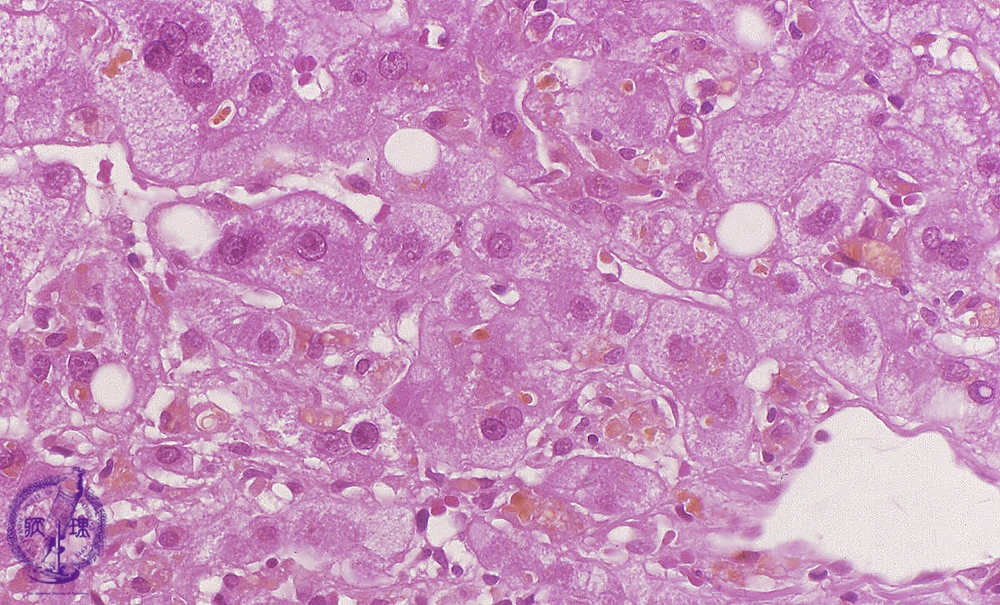
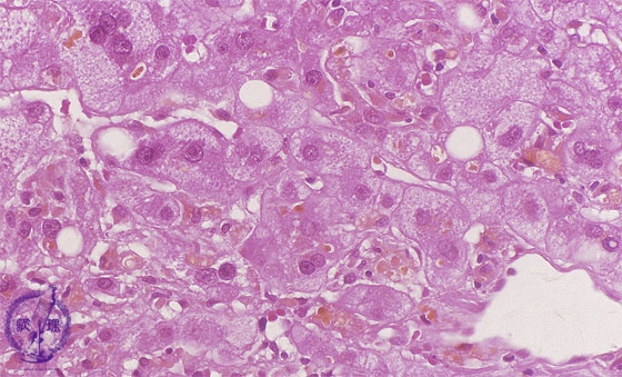
• 10.Liver
  • (10)Cholestatic disease (acute drug-induced)

Microscopic image (HE stain, high power): Multiple concentrated bile plugs are scattered within bile canaliculi and swollen hepatocytes contain cytoplasmic bile pigment. Mildly swollen Kupffer cells and a minimal steatosis are seen.

Click the image to see the enlarged image.

  • There is no guidance by arrows.