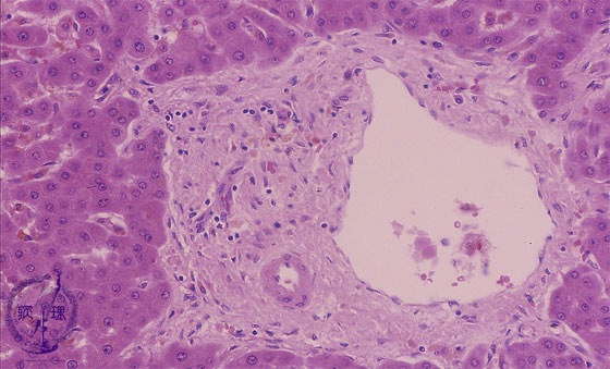
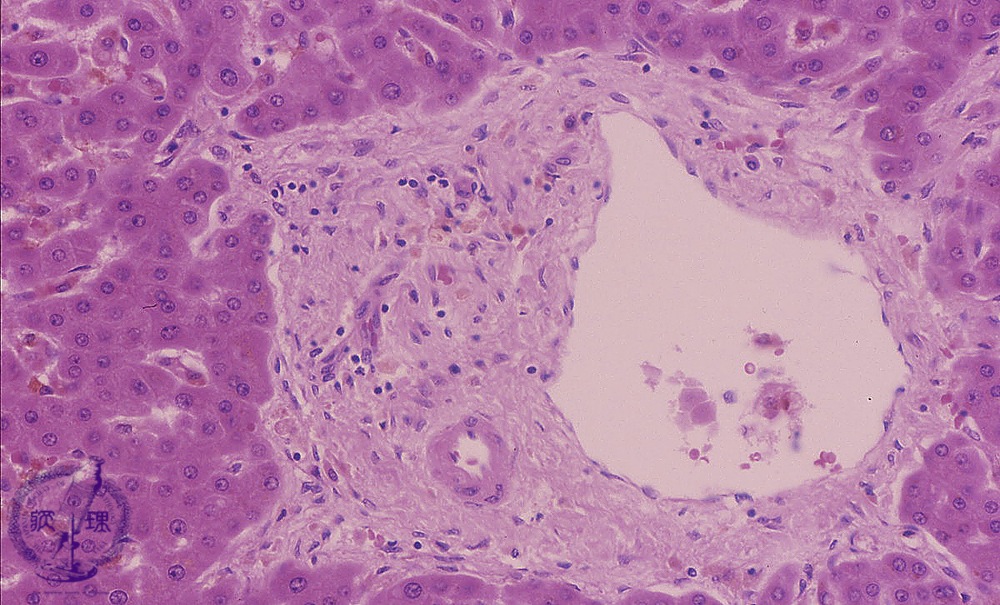
• 10.Liver
  • (11)Transplantation rejection

Microscopic image (HE stain, high power view): Slightly expanded, mid-sized portal areas contain branches of portal vein and hepatic artery, but interlobular bile ductules are absent. Inflammatory cell infiltration is minimal.

Click the image to see the enlarged image.

  • There is no guidance by arrows.