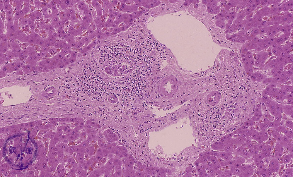
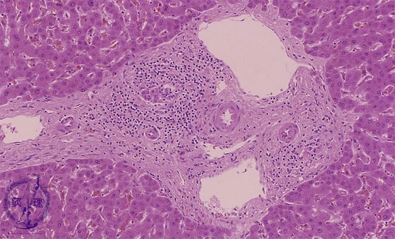
• 10.Liver
  • (11)Transplantation rejection

Microscopic image (HE stain, intermediate power): Mid-sized portal areas show fibrosis and inflammatory infiltrates composed mainly of lymphocytes. Damaged (?) interlobular bile ducts, surrounded by an inflammatory reaction, are gradually destroyed.

Click the image to see the enlarged image.

  • There is no guidance by arrows.