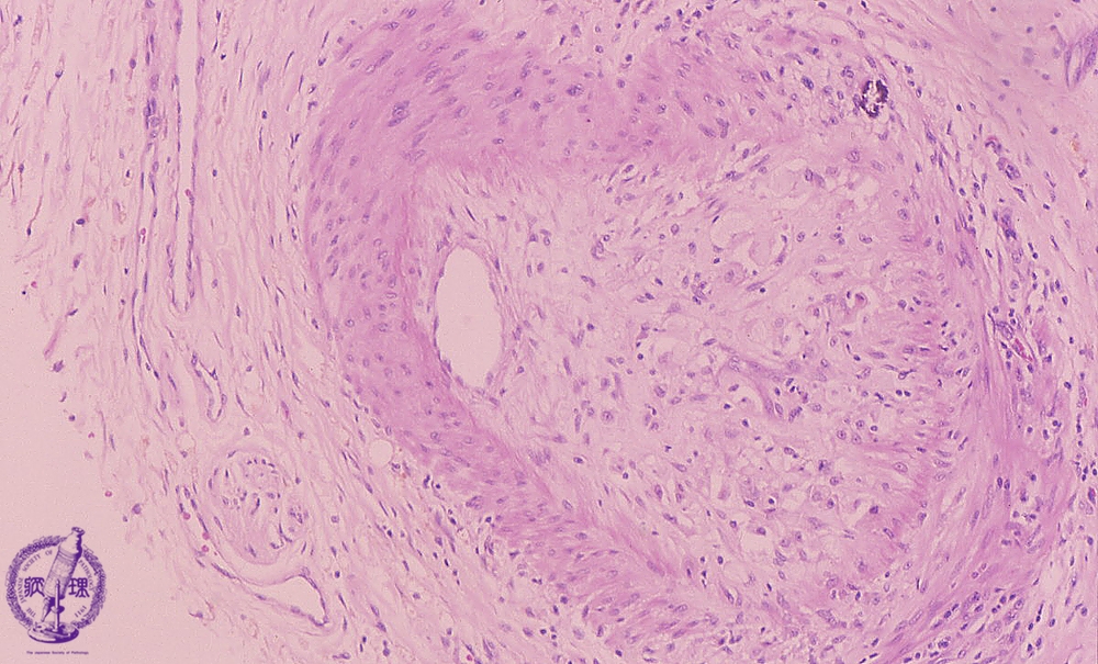
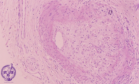
• 10.Liver
  • (11)Transplantation rejection

Microscopic finding (HE stain, high power view): Foam cells infiltrate the portal hepatic artery intima and the latter undergoes fibrotic change with severe narrowing of the lumen.

Click the image to see the enlarged image.

  • There is no guidance by arrows.