• 10.Liver
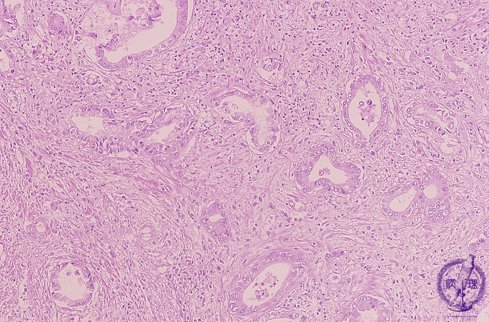
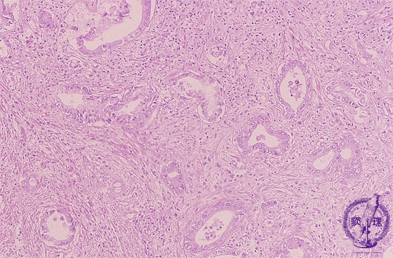
  • š(13)Intrahepatic bile duct cancer (adenocarcinoma)

Microscopic image (HE stain, intermediate power): Moderately differentiated tubular adenocarcinoma consisting of columnar to cuboidal epithelium with abundant fibrous stroma.

Click the image to see the enlarged image.

  • There is no guidance by arrows.