- 10.Liver
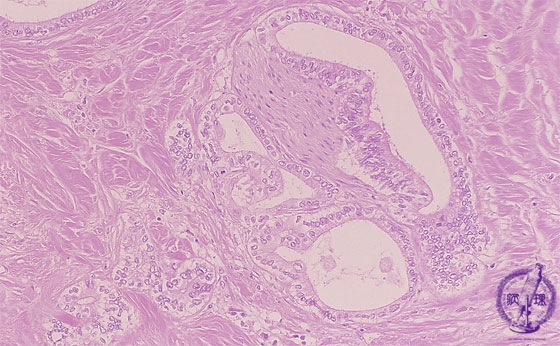
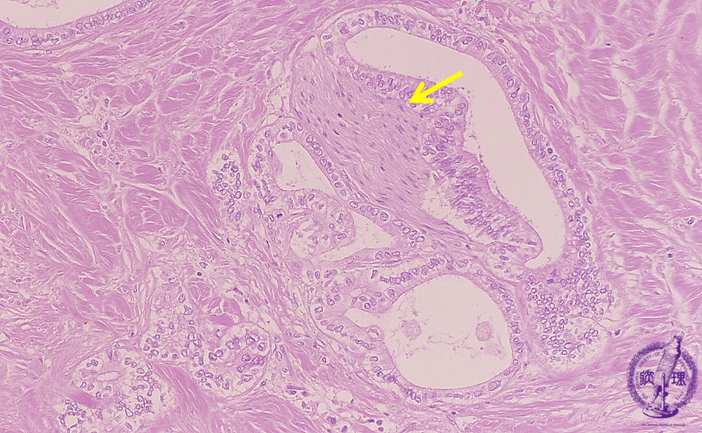
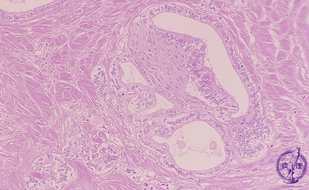
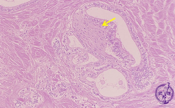
- ★(13)Intrahepatic bile duct cancer (adenocarcinoma)
Microscopic image (HE stain, intermediate power): Neuronal invasion (yellow arrow) by tubular adenocarcinoma is seen.
Click the image to see the enlarged image.
Microscopic image (HE stain, intermediate power): Neuronal invasion (yellow arrow) by tubular adenocarcinoma is seen.
Click the image to see the enlarged image.