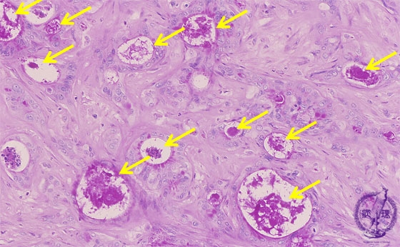
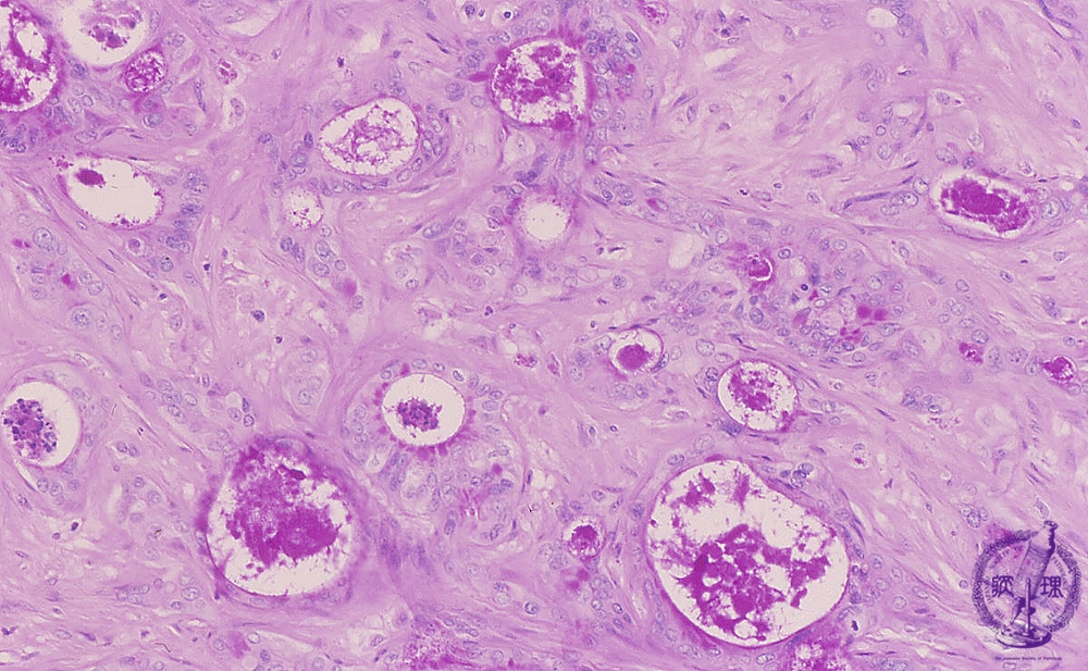
- 10.Liver
- ★(13)Intrahepatic bile duct cancer (adenocarcinoma)
Microscopic finding (diastase digested PAS stain, high power view): The carcinomatous glands and cells contain PAS-positive mucus (yellow arrows).
Click the image to see the enlarged image.














