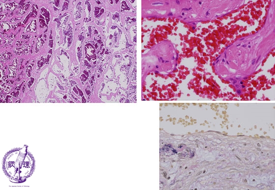
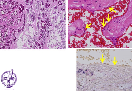
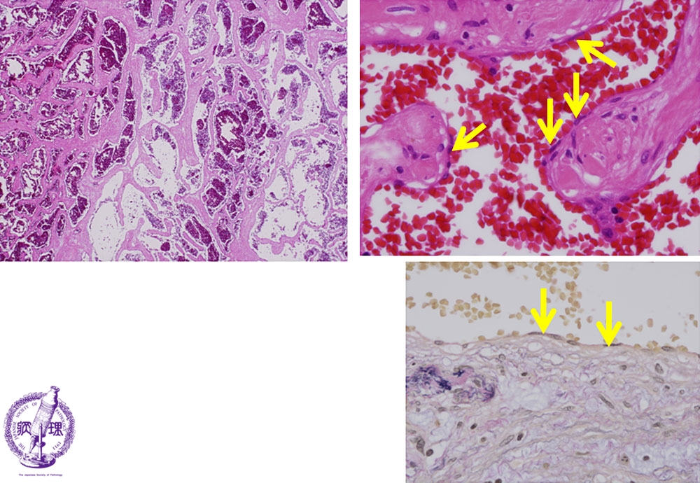
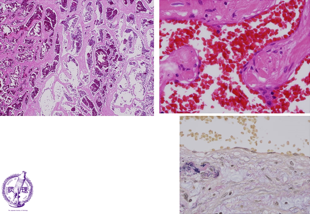
- 10.Liver
- ★(14)Hepatic hemangioma
Microscopic image:Left upper: There is abundant blood clot within the sponge-like tissue.Right upper: The sponge-like architecture is composed of an endothelial cell lined connective tissue.Right lower: In the same area, elastic stain highlights endothelial cells lining the periphery.
Click the image to see the enlarged image.















