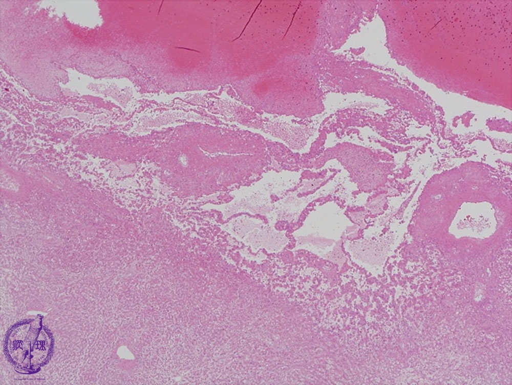
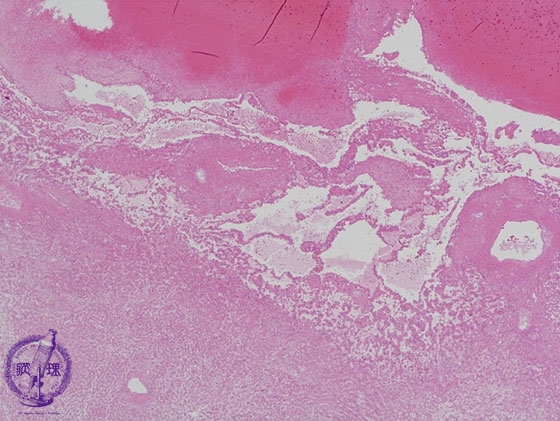
- 10.Liver
- ★(14)Angiosarcoma of the liver
Microscopic image (HE stain, low power): The boundary (yellow dashed line) between tumor and non-neoplastic liver is unclear.
Click the image to see the enlarged image.
Microscopic image (HE stain, low power): The boundary (yellow dashed line) between tumor and non-neoplastic liver is unclear.
Click the image to see the enlarged image.