• 10.Liver
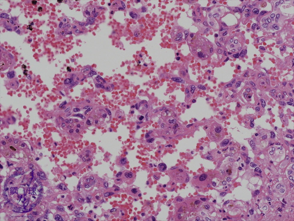
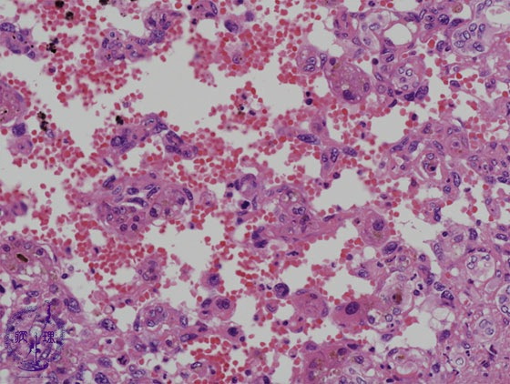
  • š(14)Angiosarcoma of the liver

Microscopic image (HE stain, high power view): Tumor cells with round to slightly pleomorphic nuclei form the sponge-like tumor. Red blood cells accumulate within the intercellular spaces.

Click the image to see the enlarged image.

  • There is no guidance by arrows.