- 11.Gallbladder, Pancreas
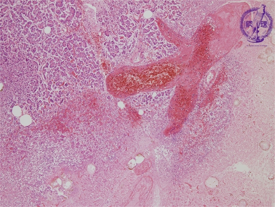
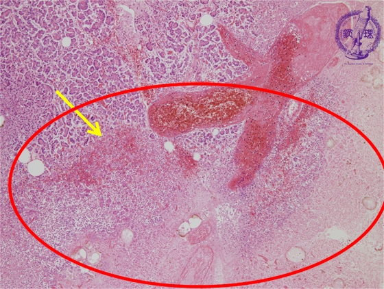
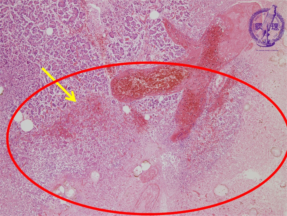
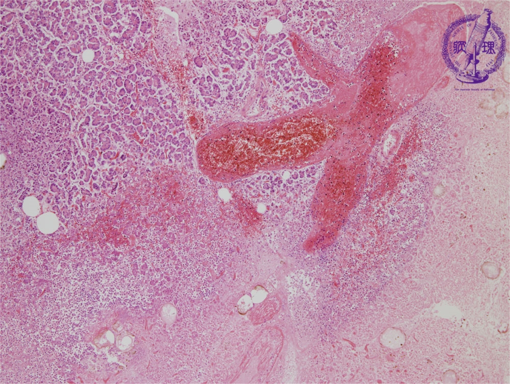
- ★(4)Acute hemorrhagic necrotizing pancreatitis, pancreatic pseudocyst
Microscopic image(HE stain, low power) There is interstitial hemorrhage with destruction of interlobular blood vessels. Parenchymal hemorrhage (arrow) and necrosis (circles) are seen.
Click the image to see the enlarged image.














