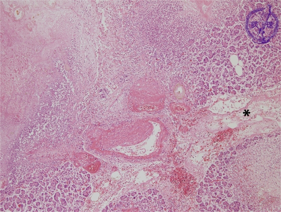
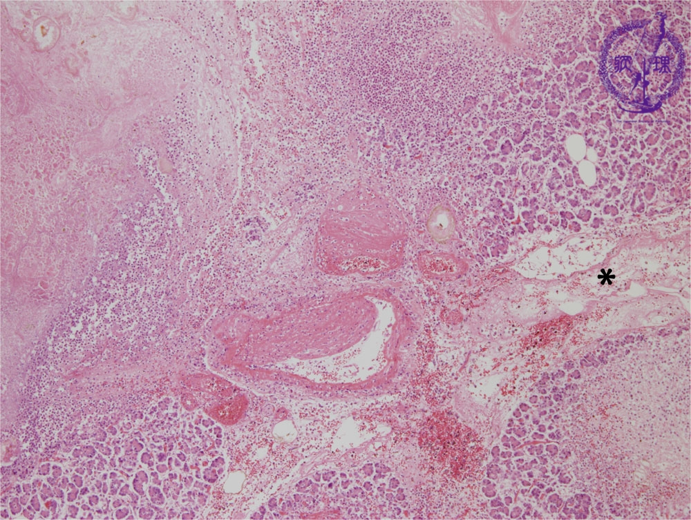
Microscopic image(HE stain, low power):There is destruction of interlobular blood vessels with pancreatic parenchymal necrosis. The majority of inflammation is seen within the pancreatic parenchyma.The interlobular space (*) shows edema and lymphectasia.

Click the image to see the enlarged image.

  • There is no guidance by arrows.