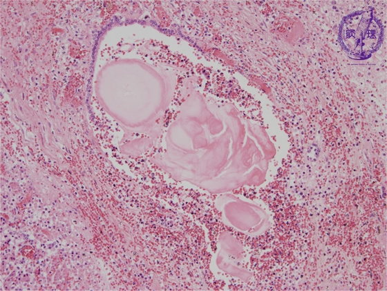
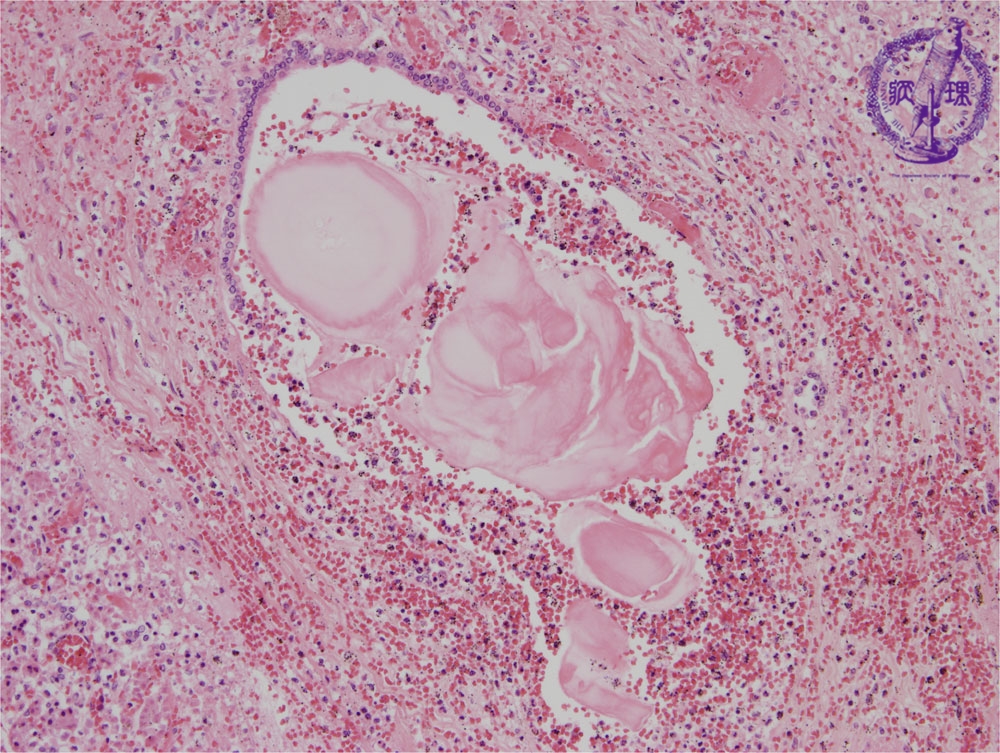
Microscopic image(HE stain, mid-power): There is destruction of the pancreatic duct epithelium and residual pancreatic ducts contain concentrated proteinaceous material. The inflammatory cell infiltrate is composed mainly of neutrophils.

Click the image to see the enlarged image.

  • There is no guidance by arrows.