- 12.Kidney and Urinary System
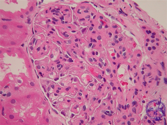
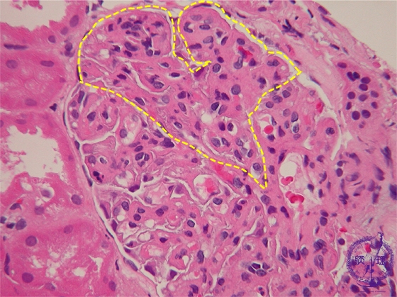
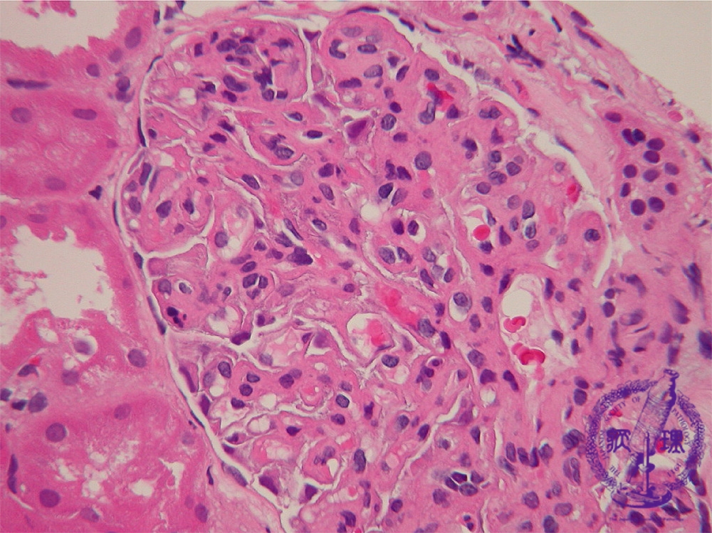
- ★(3)Membranoproliferative glomerulonephritis
Microscopic findings (HE, high power view): The capillary loops are thickened with proliferation of mesangial cells and matrix. Some glomerular loops appear lobulated (yellow dotted line, 10 to 13 o’clock)
Click the image to see the enlarged image.














