- 12.Kidney and Urinary System
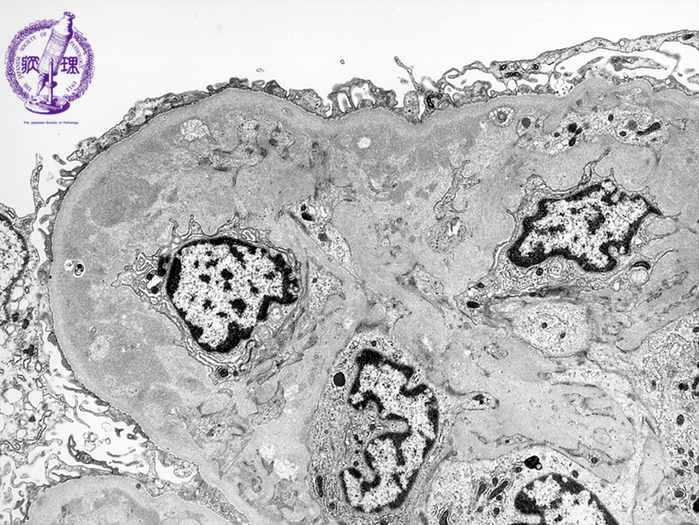
- ★(3)Membranoproliferative glomerulonephritis
Electron microscopy: Electron dense subendothelial deposits are identified (yellow dotted line).
Click the image to see the enlarged image.
Electron microscopy: Electron dense subendothelial deposits are identified (yellow dotted line).
Click the image to see the enlarged image.