- 12.Kidney and Urinary System
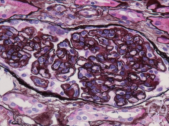
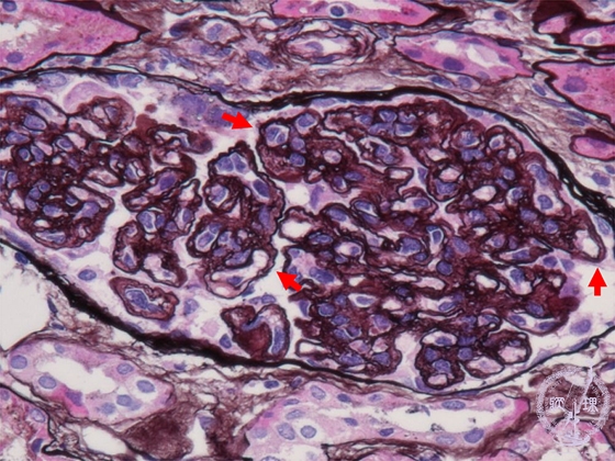
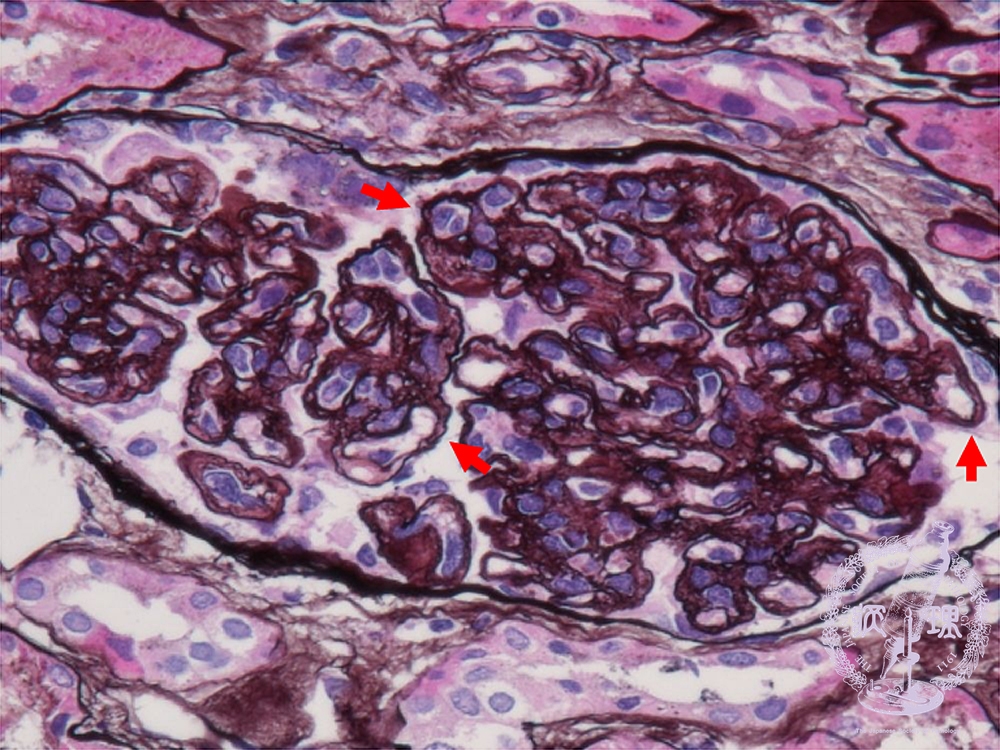
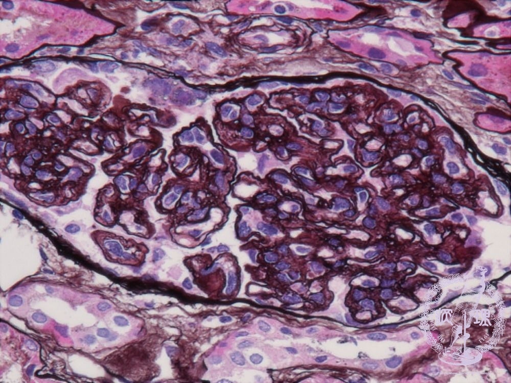
- ★(3)Membranoproliferative glomerulonephritis
Microscopic findings ( PAM, high power view): The glomerular basement membrane is irregularly thickened and demonstrates a double contour (red arrows).
Click the image to see the enlarged image.














