- 12.Kidney and Urinary System
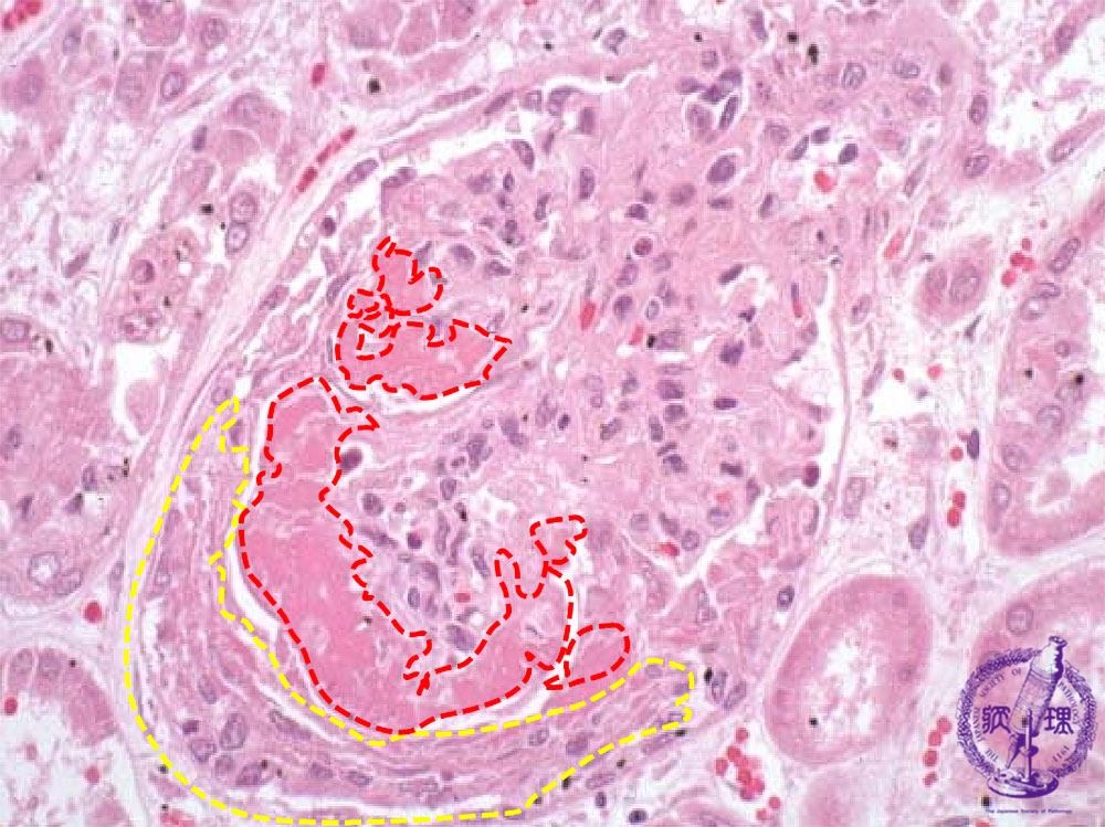
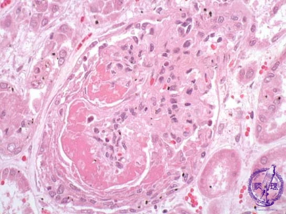
- ★(5)Crescent-forming glomerulonephritis
Microscopic findings (HE, high power view): A cellular crescent is noted in Bowman’s space (yellow dotted line) and the adjacent glomerular loops are covered with fibrin exudates (red dotted lines).
Click the image to see the enlarged image.













