- 12.Kidney and Urinary System
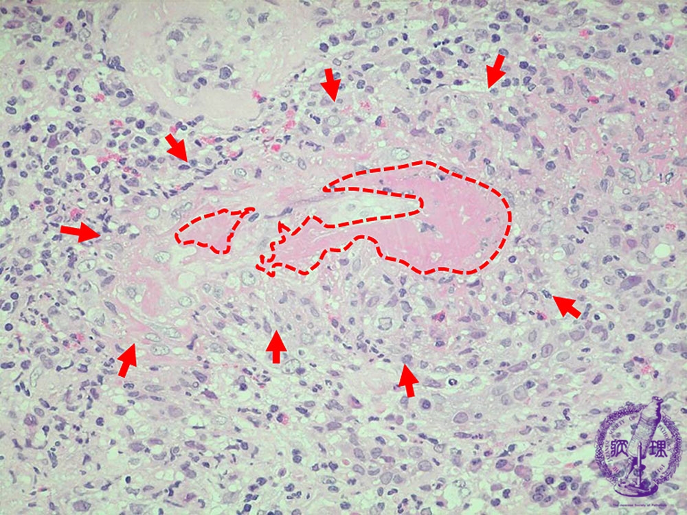
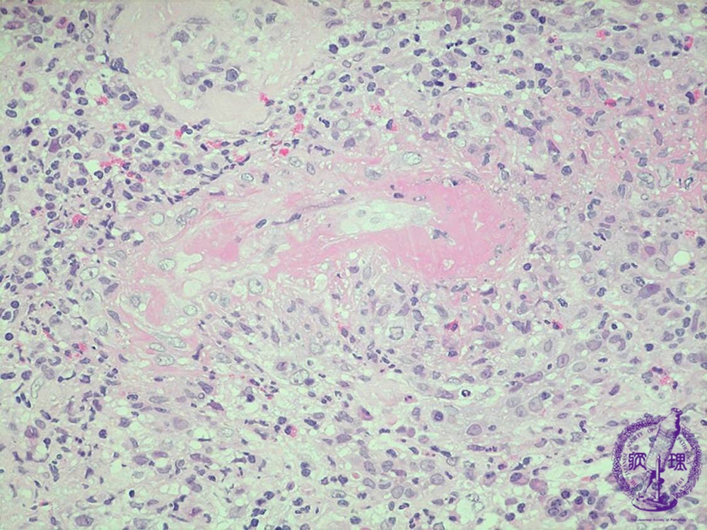
- ★(5)Crescent-forming glomerulonephritis
Microscopic findings ( HE, high power view):ANCA-related glomerulonephritis. There is interlobular artery vasculitis comprising fibrinoid degeneration, necrosis and destruction of the vascular wall (red dotted line = necrosis, red arrows = arterial wall).
Click the image to see the enlarged image.













