- 12.Kidney and Urinary System
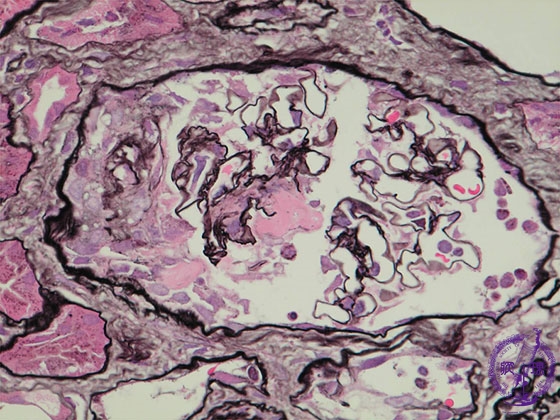
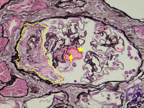
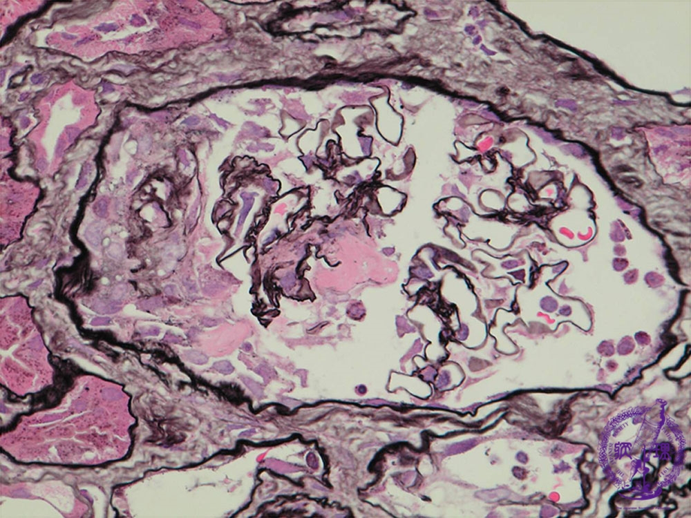
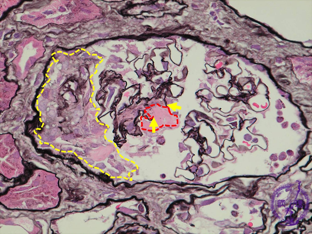
- ★(5)Crescent-forming glomerulonephritis
Microscopic findings ( PAM, high power view):ANCA-related glomerulonephritis. There is disruption of the glomerular loop basement membrane (yellow arrows) as well as fibrin exudates (red dotted line). Bowman’s space contains a cellular crescent (yellow dotted line).
Click the image to see the enlarged image.













