- 12.Kidney and Urinary System
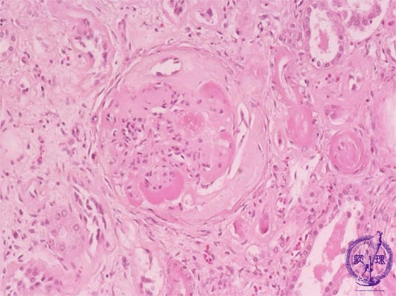
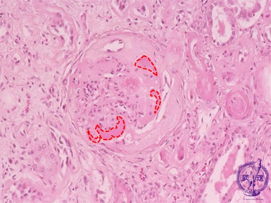
- (7)Diabetic nephropathy
Microscopic findings ( HE, high power view): The exudative lesion is characterized by an eosinophilic exudate which covers glomerular loops (fibrin cap, red dotted line).
Click the image to see the enlarged image.













