- 12.Kidney and Urinary System
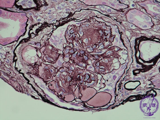
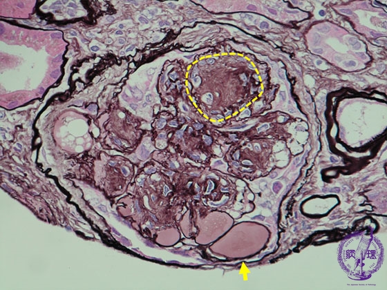
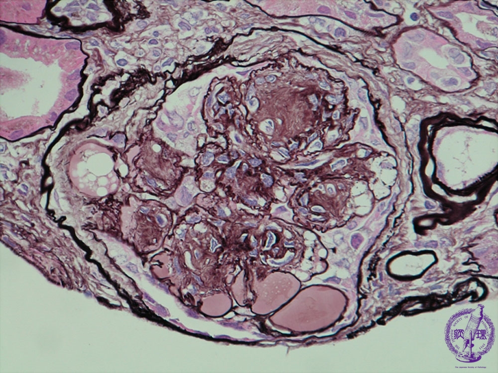
- (7)Diabetic nephropathy
Microscopic findings (PAM, high power): A nodular component is demonstrated by accumulation of mesangial matrix (yellow dotted line) whereas an exudative component is established by exudates within capillary loop vessel walls (yellow arrow).
Click the image to see the enlarged image.













