- 12.Kidney and Urinary System
- (7)Diabetic nephropathy
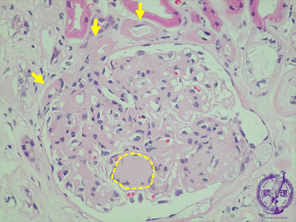
Microscopic findings (HE, high power view): Nodular lesion. Eosinophilic material forms nodular deposits (yellow dotted line) within the mesangium pushing mesangial cells to the periphery, the quintesessential finding in diabetic nephropathy. There is arteriolosclerosis demonstrated by marked hyalinization in the walls of afferent and efferent arteries and arterioles. (yellow arrows).
Click the image to see the enlarged image.













