- 12.Kidney and Urinary System
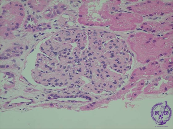
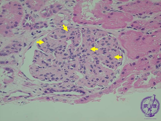
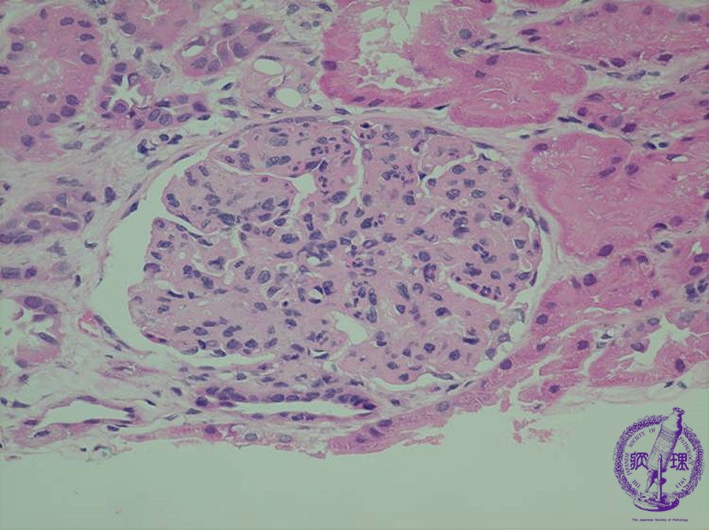
- (8)Endocapillary proliferative glomerulonephritis
Microscopic findings (HE, high power): There is an endocapillary cellular proliferation which includes neutrophils and macrophages (hypercellularity, yellow arrows).
Click the image to see the enlarged image.













