- 12.Kidney and Urinary System
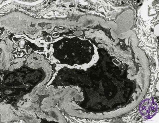
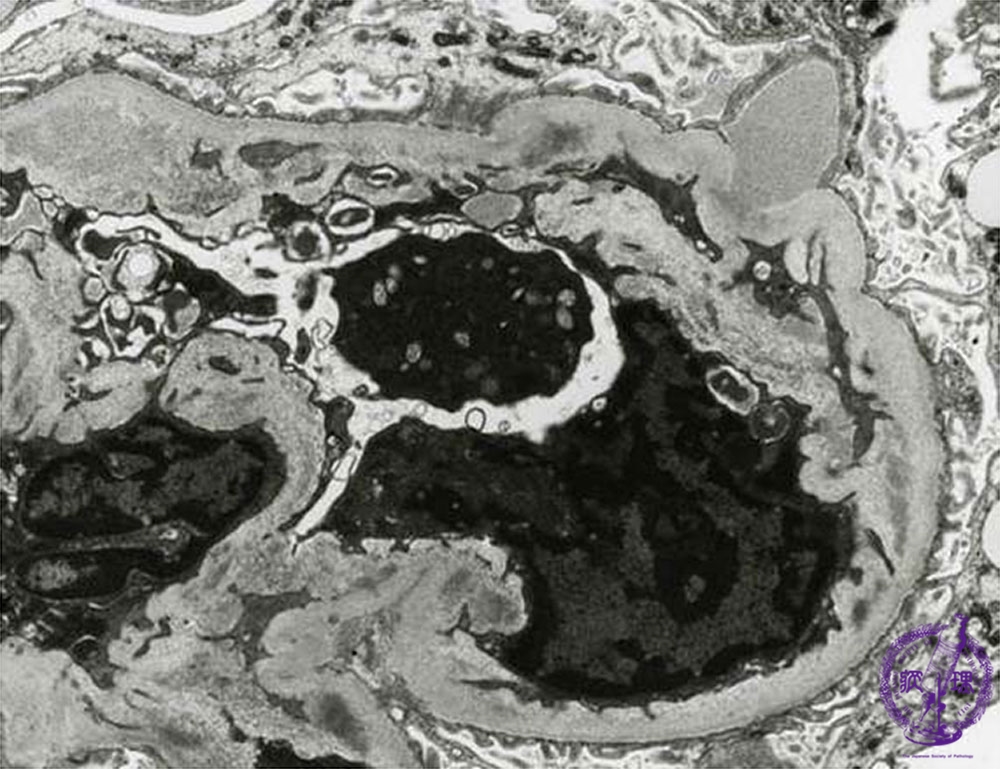
- (8)Endocapillary proliferative glomerulonephritis
Microscopic findings(electron microscopy): There are electron dense subepithelial deposits (yellow arrows). The deposits, known as humps, protrude predominantly from the subendothelial aspect.
Click the image to see the enlarged image.













