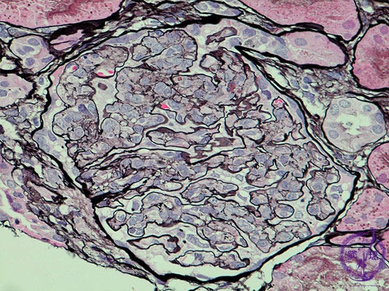
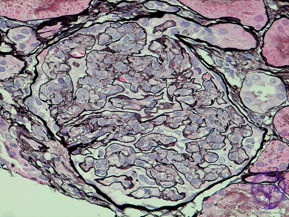
Microscopic findings (PAM, high power view): The glomerular capillary lumen narrows due to proliferation and accumulation of endothelial cells, neutrophils, macrophages, and mesangial cells.

Click the image to see the enlarged image.

  • There is no guidance by arrows.