- 13.Endocrine
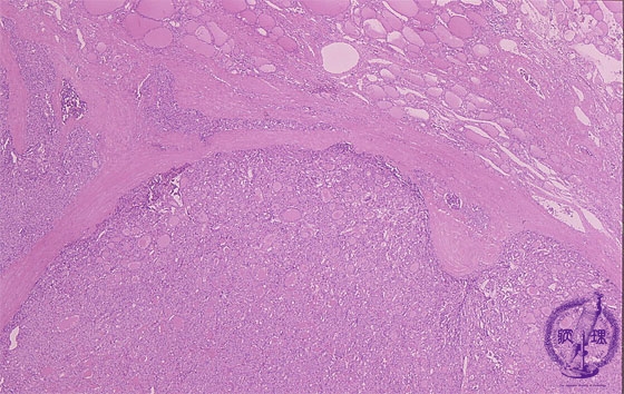
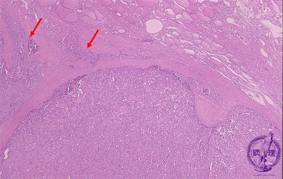
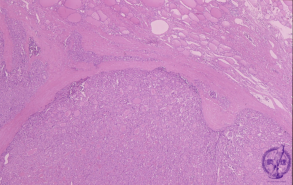
- (9)Follicular carcinoma of the thyroid
Microscopic findings (HE stain, low power view). Thyroid tumor with fibrous capsule. The presence of a tumor nest (arrows) outside the capsule is suggestive of capsular invasion.
Click the image to see the enlarged image.














