- 13.Endocrine
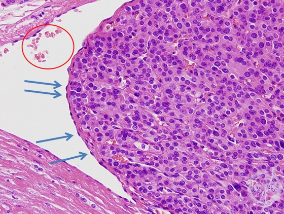
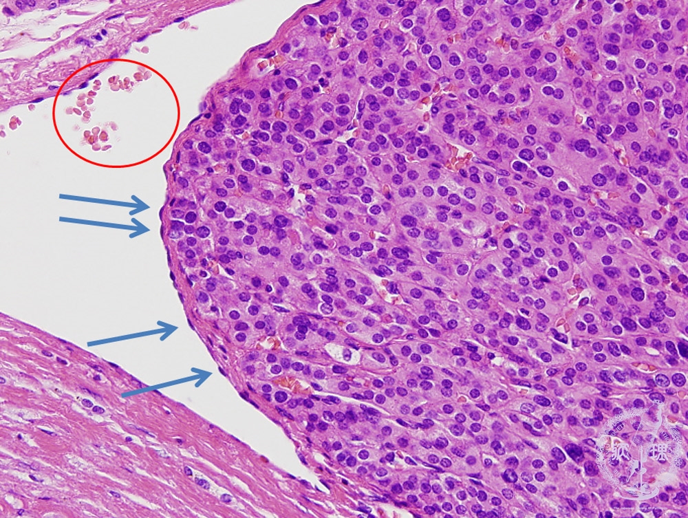
- (9)Follicular carcinoma of the thyroid
Microscopic findings (HE stain, middle power view). The presence of a tumor cell nest, covered by endothelial cells (arrows), in the blood vessel, can be interpreted as vascular invasion. It is recognized as a blood vessel lumen due to the presence of erythrocytes (red blood cells) indicated by the red circles.
Click the image to see the enlarged image.














