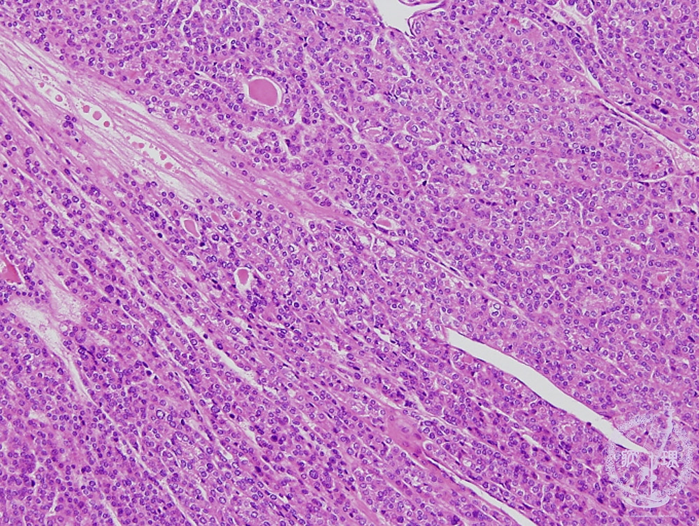
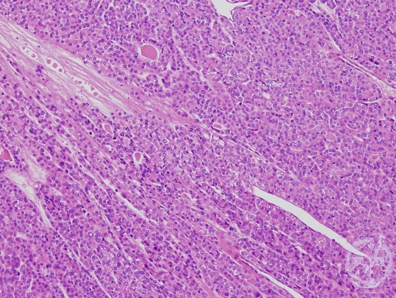
Microscopic findings (HE stain, middle power view). The tumor cells are arranged in follicular or trabecular architecture. The nuclei of tumor cells are round and small.

Click the image to see the enlarged image.

  • There is no guidance by arrows.