• 13.Endocrine
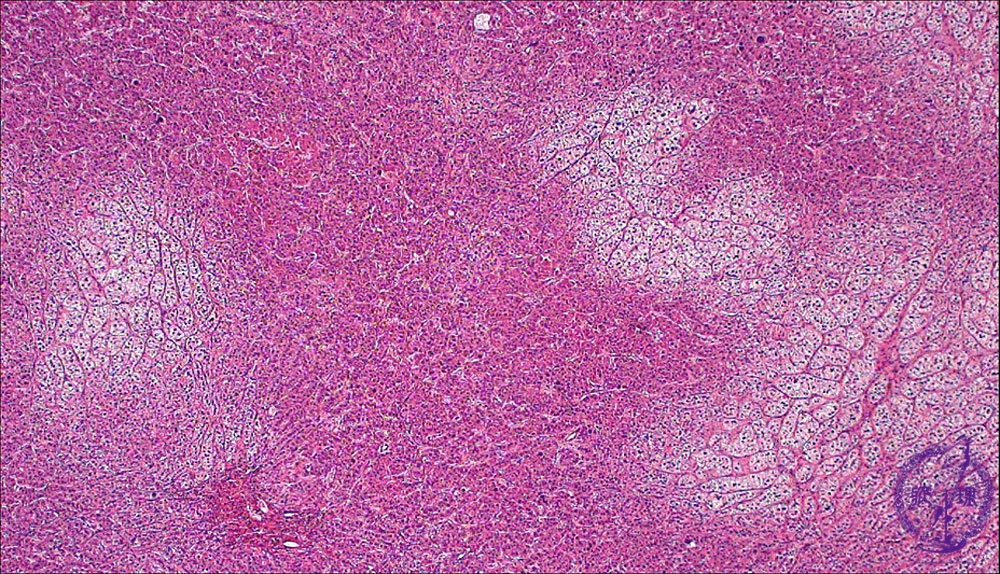
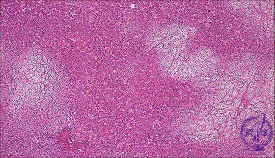
  • š(13)Adrenocortical adenoma (Cushing syndrome)

Microscopic findings (HE stain, low power view). The tumor is composed of both clear and eosinophilic cell components.

Click the image to see the enlarged image.

  • There is no guidance by arrows.