• 13.Endocrine
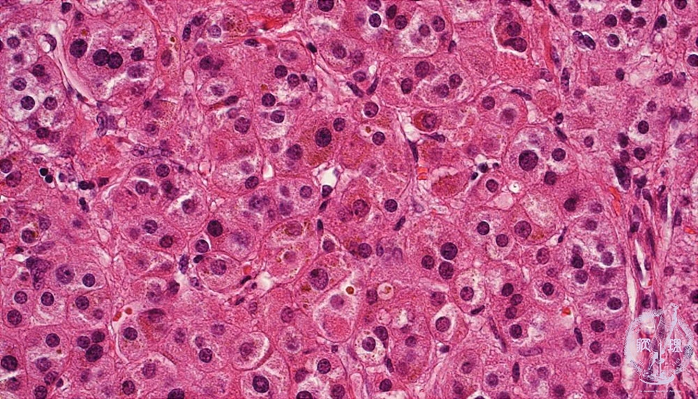
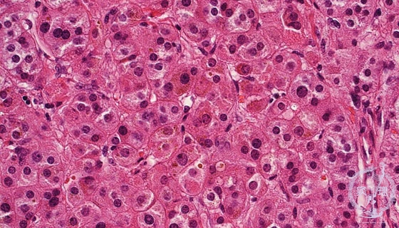
  • š(13)Adrenocortical adenoma (Cushing syndrome)

Microscopic findings (HE stain, high power view). Compact cells, with relatively high N/C ratio, demonstrated eosinophilic cytoplasm. The cells have a brownish hue due to the presence of lipofuscin granules.

Click the image to see the enlarged image.

  • There is no guidance by arrows.