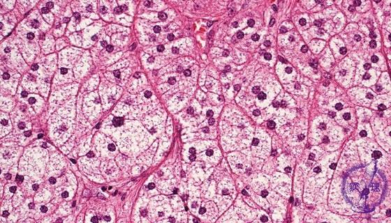
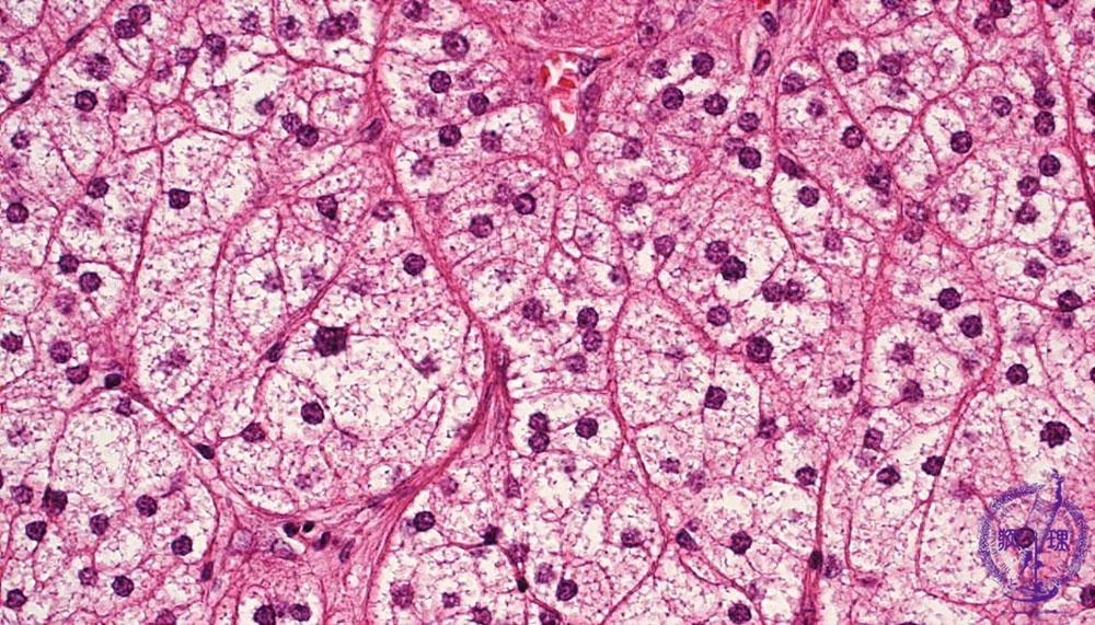
• 13.Endocrine
  • š(13)Adrenocortical adenoma (Cushing syndrome)

Microscopic findings (HE stain, high power view). Clear cells with lipid-rich foamy cytoplasm. These tumor cells are similar to the cells of zona glomerulosa in adrenal cortex.

Click the image to see the enlarged image.

  • There is no guidance by arrows.