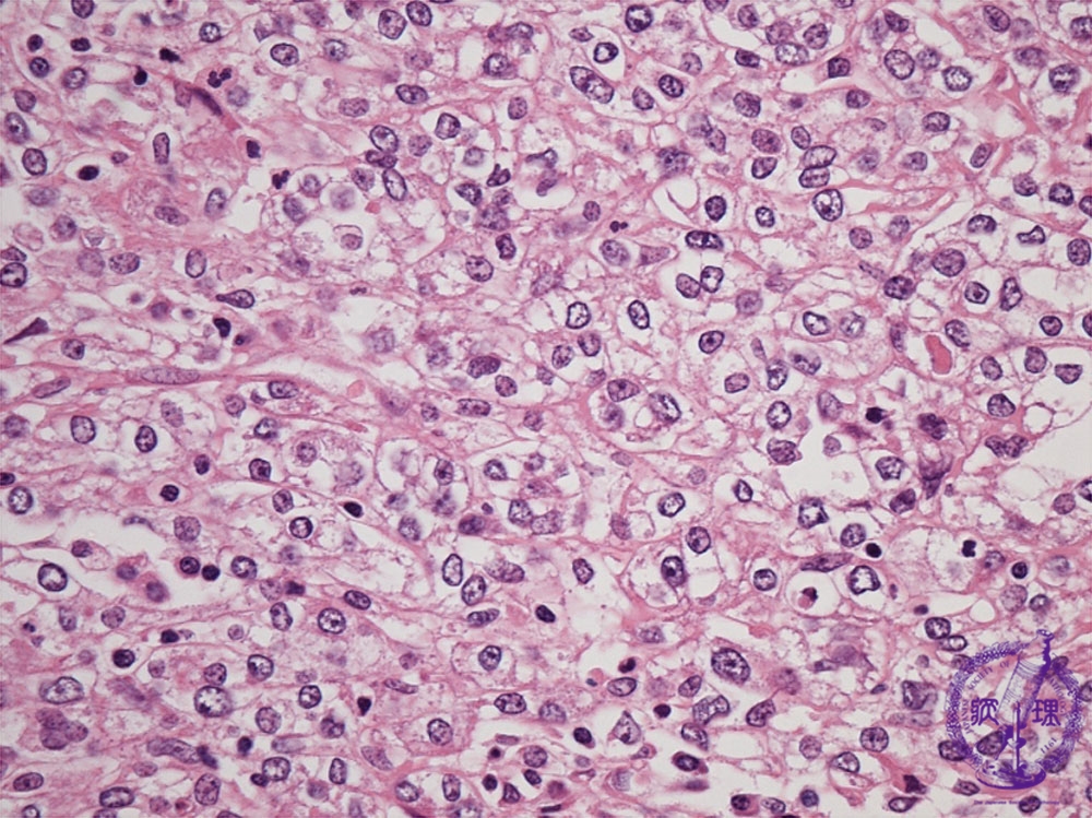
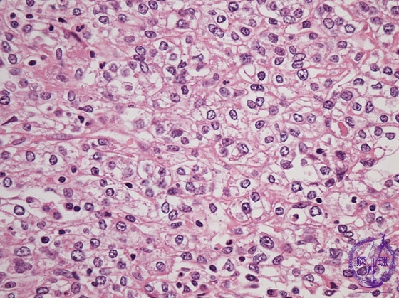
Histology (HE stain, high power): Carcinoma cells with clear cytoplasm grew/formed(?) in a solid structure.

Click the image to see the enlarged image.

  • There is no guidance by arrows.